dental

#

dental

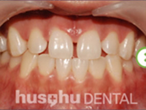
Othondontics


Was this photo helpful?

0 others said it is helpful

Yes No
HusHu Dental Clinic HusHu Dental Clinic
Get The Free Quotation

Your information is protected by our Privacy Policy

>Unlike Work

Are you sure you want to Unlike this Photo/Video?


  • Home

  • My Quote

  • Chat

  • Doc/Clinic
Welcome

Get my surgery quote

OR
Sign Up with email
Log in with email